Gallery
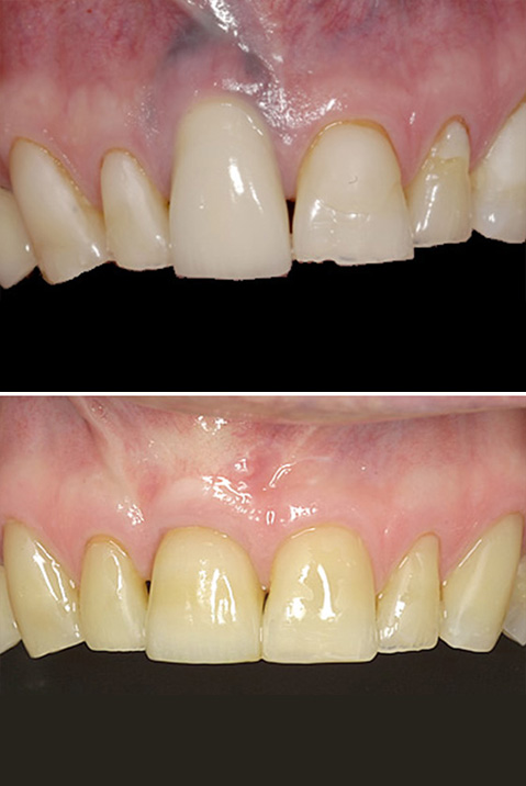
MICRO FACCETTE SU INCISIVI SUPERIORI
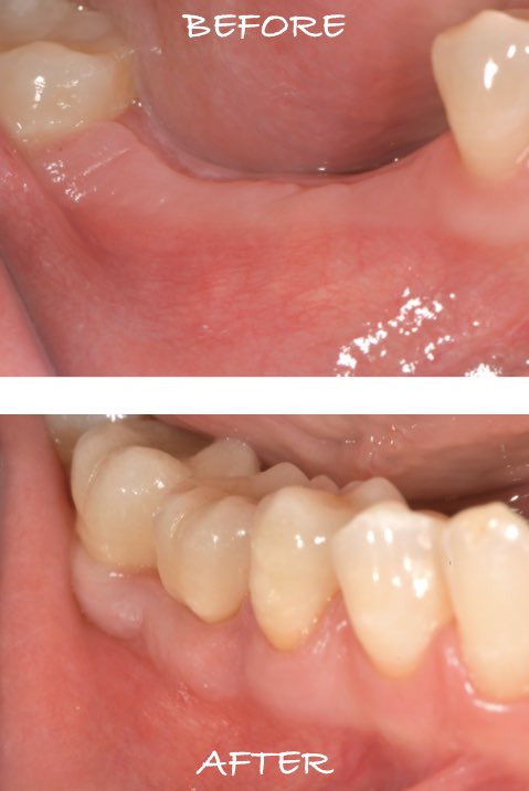
IMPLANTOLOGIA AVANZATA
MICRO FACCETTE SU INCISIVI SUPERIORI
FACCETTE PORCELLANA
GUMMY SMILE
sorriso gengivale associato a paradontite
SORRISO GENGIVALE
chirurgia ossea estetica resettiva
GUMMY SMILE
sorriso gengivale
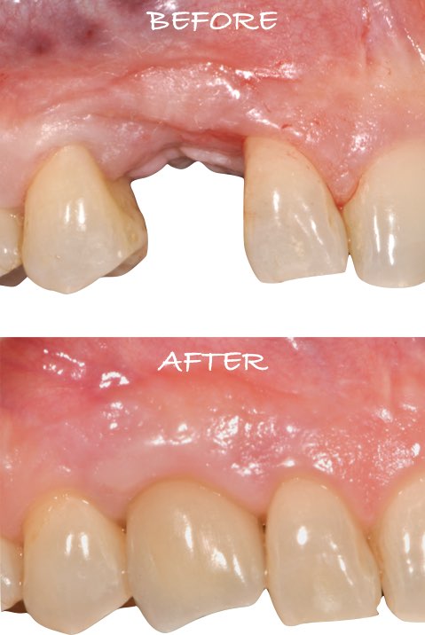
IMPLANTOLOGIA AVANZATA
RIGENERAZIONE ossea guidata ed inserimento IMPLANTARE
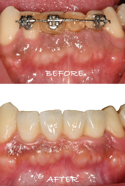
RITRATTAMENTO DI DANNI IATROGENI
rigenerazione ossea e simultaneo carico implantare immediato
RIABILITAZIONE TOTALE
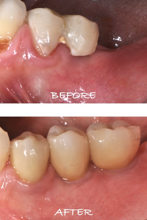
corone in porcellana integrale e tecnologia CAD CAM
DANNI IATROGENI
terapia parodonto-implantare
RIABILITAZIONE TOTALE SU IMPIANTI ENDOSSEI
ricostruzione artificiale del tessuto gengivale
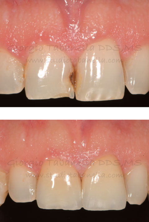
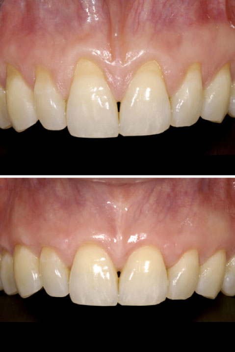
MICROFACCETTE DI PORCELLANA INTEGRALE
FACCETTE PORCELLANA
ESTETICA
chirurgia ossea resettiva a frenulectomia con innesto di connettivo
ricostruzione estetica con faccette di porcellana
PROVVISORIO IMMEDIATO
RIGENERAZIONE GENGIVALE GUIDATA
BUCCAL PEDICLE FLAP DEVELOPED BY DR.TABANELLA
rigenerazione ossea guidata e carico immediato
IMPLANTOLOGIA AVANZATA
Impianti endossei e rigenerazione ossea avanzata
IMPLANTOGIA ED ESTETICA
implantologia avanzata
6 mesi di trattamento
corone porcellana integrale e tecnologia CAD CAM
CHIRURGIA PLASTICA
innesto di tessuto connettivo
CHIRURGIA PLASTICA E IMPLANTOLOGIA
RICOSTRUZIONE TESSUTO OSSEO, MUCO-GENGIVALE E IMPLANTARE
RECESSIONE MUCOGENGIVALE
innesti di tessuto connettivo e lembo a riposizionamento coronale
DISCREPANZE ESTETICHE
chirurgia ossea estetica resettiva e rigenerazione guidata dei tessuti
MANAGEMENT TESSUTO MOLLE PERI-IMPLANTARE
buccal pedicle flap by Dr.Tabanella
POSIZIONAMENTO IMPLANTARE E CARICO IMMEDIATO
contestuale rigenerazione ossea
implantologia AVANZATA
riduzione dei tempi operatori con tecniche mini-invasive
MICROFACCETTE IN PORCELLANA INTEGRALE
riabilitazione arcata superiore da premolare a premolare
CARICO IMMEDIATO E RIGENERAZIONE TISSUTALE
3 mesi di trattamento
CARICO IMMEDIATO E RIGENERAZIONE TISSUTALE AVANZATA
4 mesi di trattamento
Recessioni mucogengivali multiple
CHIRURGIA PLASTICA MUCOGENGIVALE CON LEMBI A RIPOSIZIONAMENTO CORONALE
RIABILITAZIONE COMPLESSA
rigenerazione guidata tessuti ossei e gengivali
RITRATTAMENTO ODONTOIATRIA IATROGENA
corone singole su impianti endossei
DANNI POST ORTODONZIA
rigenerazione guidata dei tessuti ed implantologia
MICROFACCETTE IN PORCELLANA INTEGRALE
ricostruzione estetica
SORRISO GENGIVALE
chirurgia ossea estetica
RITRATTEMENTO DANNI IATROGENI
implantologia e rigenerazione mini-invasiva dei tessuti
IMPLANTO-PROTESI
protesi a supporto implantare
RICOSTRUZIONE TESSUTO GENGIVALE
the Buccal Pedicle Flap by Giorgio Tabanella
SBIANCAMENTO PROFESSIONALE
PRIMA/DOPO
SBIANCAMENTO PROFESSIONALE
risultato dopo 45 minuti di trattamento